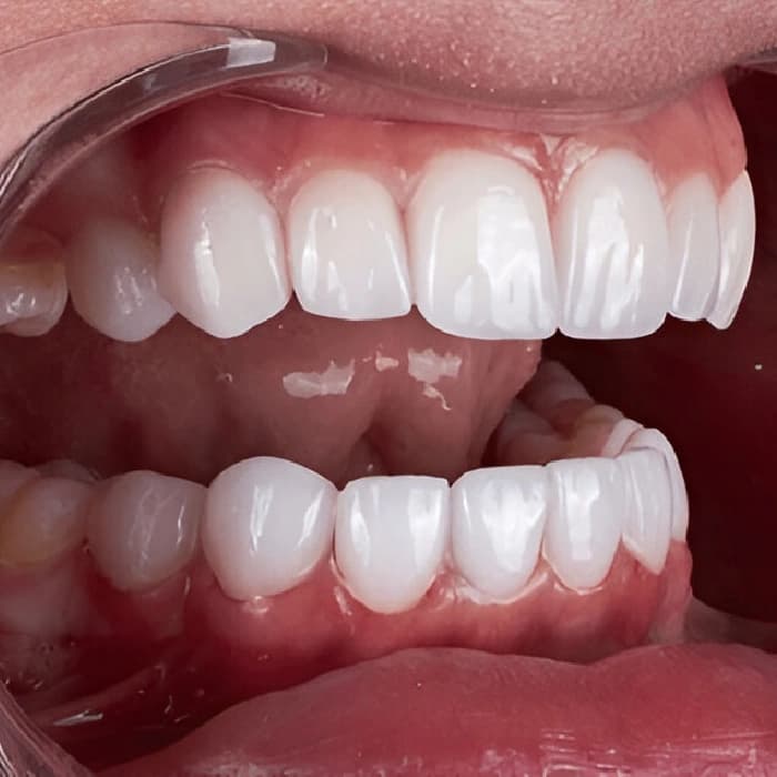
عکسهای رنگی و باکیفیت از داخل دهان برای ثبت شرایط اولیه یا مقایسه قبل و بعد درمان
۱٬۰۰۰٬۰۰۰تومان
189
متخصص و مرکز درمانی
1
سرویس انجام شده

فتوگرافی دندان یک روش تصویربرداری است که برای ثبت تصاویر دقیق از دندانها، لثهها و ساختارهای دهانی استفاده میشود. این نوع عکاسی بهویژه برای مستندسازی وضعیت دندانها، ارزیابی وضعیت دهان و لثه و پیگیری درمانهای دندانی اهمیت دارد. فتوگرافی دندان بهعنوان یک ابزار قدرتمند برای دندانپزشکان بهشمار میرود که میتوانند از آن برای ارائه طرحهای درمانی، آموزش به بیماران، یا حتی مقاصد علمی و تحقیقاتی استفاده کنند. این نوع عکاسی شامل ثبت تصاویر از نمای جلویی، کناری و بالایی دندانها و گاهی از نمای داخل دهان است.
هزینه فتوگرافی دندان بسته به عوامل مختلفی مانند موقعیت جغرافیایی کلینیک، نوع تجهیزات و تخصص دندانپزشک متغیر است. در سال 1404، قیمت این نوع عکاسی معمولاً در محدوده 100 هزار تومان تا 500 هزار تومان قرار دارد. البته، قیمت دقیقتر به نوع دوربین و تجهیزات پیشرفتهای که برای انجام فتوگرافی استفاده میشود بستگی دارد. برخی از کلینیکها ممکن است هزینه بیشتری برای عکسهای دیجیتال یا تصاویر با کیفیت بسیار بالا دریافت کنند. این هزینه معمولاً شامل تهیه عکس، بررسی و تحلیل آن توسط دندانپزشک، و ایجاد یک پرونده تصویری برای پیگیری درمان است.
در فرآیند فتوگرافی دندان، بیمار باید در یک موقعیت خاص و راحت در صندلی دندانپزشکی قرار بگیرد.
ابتدا، دندانپزشک یا عکاس دندانپزشکی دندانها و دهان بیمار را آماده میکند.
سپس، با استفاده از دوربینهای تخصصی دندانپزشکی، تصاویری از دندانها و لثهها از زوایای مختلف گرفته میشود.
در این مراحل، دندانپزشک ممکن است از ابزارهای خاصی مانند رفلکتورهای نور برای روشنایی بهتر و حذف سایهها استفاده کند.
تصاویر گرفتهشده معمولاً شامل نماهای جلویی، کناری، و در برخی موارد نمای داخل دهان از دندانها و ساختارهای لثه است.
پس از گرفتن تصاویر، دندانپزشک میتواند آنها را بررسی کرده و برای درمانهای بعدی برنامهریزی کند.
مراحل فتوگرافی دندان شامل چند مرحله ساده است که به دقت و روشنایی مناسب نیاز دارد. این مراحل عبارتند از:
ارزیابی وضعیت دهان و دندانها: دندانپزشک وضعیت دندانها و لثهها را بررسی کرده و مناطقی که نیاز به عکاسی دارند را مشخص میکند.
آمادهسازی بیمار: بیمار بهطور راحت روی صندلی دندانپزشکی قرار میگیرد و در موقعیت خاصی قرار میگیرد تا تصاویر واضح و دقیقی ثبت شود.
گرفتن تصاویر: دندانپزشک یا عکاس دندانپزشکی تصاویر مختلفی از دندانها از زوایای مختلف میگیرد. این تصاویر شامل نماهای جلویی، کناری، و در برخی موارد نمای داخل دهان است.
بررسی و تحلیل تصاویر: پس از گرفتن عکسها، دندانپزشک تصاویر را بررسی کرده و برای برنامهریزی درمانهای آینده استفاده میکند.
فتوگرافی دندان معمولاً بدون درد است. این فرآیند شامل گرفتن عکس از دندانها و لثهها با استفاده از دوربینهای حرفهای است که نیاز به هیچ نوع درمان یا جراحی ندارد. در برخی موارد، بیمار ممکن است کمی ناراحتی در حین نگه داشتن دهان در موقعیت خاص یا قرار دادن ابزارهای مورد نیاز برای عکاسی احساس کند، اما این ناراحتیها موقتی و جزئی هستند. در کل، فتوگرافی دندان یک روش ساده و غیرتهاجمی است که برای بیمار هیچ درد یا عارضهای به همراه ندارد.
برای انجام فتوگرافی دندان، معمولاً نیازی به مراجعه به دکتر متخصص نیست، زیرا این فرآیند بیشتر توسط دندانپزشک یا عکاس دندانپزشکی انجام میشود. دندانپزشکانی که در زمینه طراحی درمانهای زیبایی یا پیشرفته تخصص دارند، معمولاً با استفاده از تجهیزات مناسب، بهترین کیفیت تصاویر را برای اهداف درمانی و زیباییشناسی فراهم میآورند. در برخی از کلینیکها، این کار بهطور ویژه توسط عکاسان متخصص دندانپزشکی انجام میشود که بهطور حرفهای در ثبت تصاویر از دندانها و دهان آموزش دیدهاند.
بیمارانی که نیاز به فتوگرافی دندان دارند، معمولاً مشکلاتی در دندانها یا لثهها دارند که نیاز به ارزیابی دقیقتری دارند. این علائم شامل درد در دندانها، پوسیدگی، تغییر رنگ دندانها، مشکلات لثه مانند التهاب یا خونریزی، یا حتی مشکلات زیباییشناسی دندانها میشود. علاوه بر این، فتوگرافی دندان برای پیگیری نتایج درمانهای پیشین، مانند ارتودنسی یا درمانهای زیبایی دندان، نیز مفید است. این عکسها میتوانند به دندانپزشک کمک کنند تا وضعیت دندانها را مستندسازی کرده و برنامه درمانی دقیقتری تنظیم کند.
فتوگرافی دندان یک ابزار حیاتی در دندانپزشکی است که به دندانپزشکان کمک میکند تا وضعیت دندانها و لثهها را بهطور دقیق ارزیابی کرده و درمانهای مناسب را برنامهریزی کنند. این روش بدون درد است و بهطور سریع و ساده انجام میشود. هزینه فتوگرافی دندان به عوامل مختلفی بستگی دارد و برای دریافت قیمت دقیقتر باید با دندانپزشک متخصص مشورت کنید. با استفاده از فتوگرافی دندان، میتوان مشکلات دندانی را بهطور مؤثر شناسایی کرده و از مشکلات بعدی جلوگیری کرد.
قیمت عکاسی داخل دهان (photography) در مجموعه میخک طبق تعرفه یکپارچه میخک بوده و طبق جدول زیر قابل مشاهده و محاسبه است
| خدمت | قیمت(ریال) |
| Bitewing (عکس از بین دندانها) | 10,000,000 |
دندونپزشکی پول نمیخواد که! اراده میخواد! اراده از تو، اقساط بدون پیش پرداخت از ما
از آنجایی که ممکن است درمان دندانپزشکی در شرایطی انجام شود که بیمار فوراً نیاز به درمان داشته باشد، ولی امکان پرداخت کامل هزینه را نداشته باشد. مجموعه میخک دنتال برای این منظور، روشهای متنوع پرداخت اقساطی و اعتباری را فراهم کرده است تا بیماران بدون دغدغه مالی بتوانند درمان خود را آغاز کنند.
شعار ما تلاش برای ایجاد محیطی امن و بدون دغدغه مالی برای انجام درمان دندانپزشکی با بالاترین کیفیت و البته تعرفه غیر قابل رقابت برای شماست.
در ادامه شرایط دندانپزشکی اقساطی میخک را مشاهده خواهید کرد.
اگر چک صیادی به نام خود یا یکی از بستگان درجهیک دارید، میتوانید از اعتبار میخک دنتال استفاده کنید.
در این روش:
• بدون نیاز به مراجعه به بانک
• بدون محدودیت در میزان وام
• بدون نیاز به ضامن یا پیشپرداخت
• فقط با ارائه چک صیادی میتوانید هزینه درمان را بهصورت اقساط ماهانه تا 3 ماه یکبار پرداخت کنید.
اگر در اسنپ پی حساب دارید چه بهتر! اگر ندارید همین امروز برای اعتبار دیجیتال خود در اسنپ پی اقدام کنید تا هزینه درمان خود را توسط اسنپ پی در ۴ قسط مساوی بدون سود و کارمزد پرداخت کنید.
• در صورت نیاز، وام تا سقف ۱۰۰ میلیون تومان نیز از این مسیر قابل دریافت است
با اعتبار دیجیپی نیز میتوانید هزینه درمان را:
• در ۴ قسط بدون بهره پرداخت کنید
• یا در صورت نیاز، تا سقف ۱۰۰ میلیون تومان وام خرید خدمات دریافت نمایید.
با افتتاح حساب و انجام اعتبارسنجی در بانکهای طرف قرارداد میخک (در حال حاضر بانک رسالت و بانک مهر)، مستقیماً از بانک وام دریافت میکنید؛ سپس هزینهی درمان پرداخت و روند درمان شما آغاز میشود.
• سود 4% و کمتر
• بازپرداخت طولانی تر نسبت به دیگر روش ها در مبالغ پایین (اقساط ماهانه کمتر)
اگر امتیاز اعتبارسنجی مناسبی دارید (امتیازA یا B)، میتوانید با ارائه:
• یک برگ چک صیادی
• یا سفته الکترونیکی
از اعتبار میخک دنتال استفاده کرده و هزینه درمان خود را اقساطی پرداخت کنید. این روش مخصوص بیمارانی است که بهدنبال فرآیند سریع و بدون نیاز به مراجعه به بانک هستند.
تارا نیز یکی از روشهای محبوب پرداخت اقساطی در میخک است:
• دریافت اعتبار تا ۱۰ میلیون تومان بدون پیشپرداخت.
• بازپرداخت در ۲ قسط مساوی بدون سود و کارمزد از پایان ماه بعد از شروع درمان.
• امکان دریافت وام فوری تا ۱۰۰ میلیون تومان با چک صیادی یا ضمانت اندوخته در صندوق دارایی کوروش در اپلیکیشن تارا
آدرس: تهران، ستارخان، دکتر حبیب الله، پلاک 307، واحد سوم
تلفن تماس: 91308323-021
آدرس ایمیل:
info@mikhakdental.com
کلیه حقوق و امتیازات این وبسایت متعلق به مجموعه دندانپزشکی میخک بوده و هرگونه استفاده از مطالب و مقالات این سایت، پیگرد قانونی دارد.