021-91308323
لیست پزشکان میخک
لیست کلینیکهای میخک
لیست درمانهای میخک
آدرس: تهران، ستارخان، دکتر حبیب الله، پلاک 307، واحد سوم
تلفن تماس: 91308323-021
آدرس ایمیل:
info@mikhakdental.com
کلیه حقوق و امتیازات این وبسایت متعلق به مجموعه دندانپزشکی میخک بوده و هرگونه استفاده از مطالب و مقالات این سایت، پیگرد قانونی دارد.
خانه
درمانها
دستیار
تعرفه ها
پروفایل
ویزیت دندانپزشک
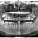
OPG (عکس کامل فک)
CBCT (تصویر سهبعدی فک و دندان)
PA (عکس پریاپیکال)
Bitewing (عکس از بین دندانها)
Occlusal (عکس از سطح کامل دندانها)
Photography (عکاسی داخل دهان)
تخصص جراحی دهان، فک و صورت
تخصص دندانپزشکی ترمیمی
دکترای حرفه ای - دندانپزشکی
تخصص ارتودانتیکس
مشاهده بیشتر
خراسان رضوی - مشهد
تهران - تهران
مازندران - بابلسر
اصفهان - اصفهان
سمنان - سمنان